審美歯科
目次
- 「審美歯科」ページの目次
当院の審美歯科
仕上がりと噛みやすさ、
再発防止にこだわった治療
虫歯治療などで歯を削ったり、歯が欠けてしまった部分を修復する治療を補綴治療(ほてつちりょう)といいます。セラミックや金属などをインレー、クラウンという方法で被せたり詰めたりして機能を回復させます。
補綴治療に使用する素材や治療法によって、歯と補修物に隙間が空いてしまい、食べカスなどが詰まってしまうことで、虫歯が再発するリスクがあります。
再発を防ぐために、当院では、歯科医師と歯科技工士がしっかりと打ち合わせを行った上で、再発しない高精度かつ、見た目の良い治療を行います。
補綴治療後の噛み合わせは、
周辺の歯や全身に
影響します。
口腔内には元々28本歯がありそこには重要な意味があります。
1本虫歯治療を行い、修復物を被せたとしてその歯の再発防止だけを考えれば良い訳ではありません。
反対側の歯や隣の歯に負担がかかってしまったり、噛み合わせが悪くなり、お口全体や体調に影響がある場合もあります。
当院では、修復治療、矯正歯科、審美治療に数多く関わってきた歯科医師が担当します。皆さんの口腔内の状況をしっかりご説明し、ご理解いただいた上で治療を進めていきますので安心してご来院ください。
審美性や汚れにくさを
考慮した素材
当院では、審美性や汚れにくさを考慮し、メタルフリー(金属を使わない)のものを中心にご提案をしております。金属が溶け出し、金属アレルギーを起こす心配がありませんので安心して長くお使いいただけます。患者様のご要望を伺いながら、ベストな素材をご提案しますので、お気軽にご相談ください。
来院される患者さまのご希望
通常の歯科治療よりもより見た目の改善を重視される患者さまにおすすめするのが審美歯科治療です。当院では以下のようなご希望の患者さまが来院されています。
- 何年か前に詰めた銀歯を白くしたい
- 歯と歯ぐきの間の黒い部分をキレイにしたい
- 前歯の形や色、向きが気になる
- 全体的に歯を白くしたい
- 1本だけ色の違う歯が気になる
- 被せ物の材質の比較
見た目の改善を重視する審美治療では、セラミックによる詰め物、被せ物が主流となっています。上質なセラミックは自由診療(保険適用外)の治療となりますが、保険適用の材質よりも天然の歯に近い色を出すことが可能です。
患者さまのご希望に合わせたご提案をしておりますので、ご興味のある方はお気軽にご相談ください。
ほとんどの歯科医師が
「自分の治療に銀歯は使わない」
理由
実際に歯科治療に従事している歯科医師や歯科衛生士は自分自身の歯の治療に保険適用の銀歯を使用することはありません。
金属に含まれる成分からアレルギーの発症につながるケースも報告されていることや(銀歯に含まれるパラジウムは欧米では人への使用を禁じられています)、耐久性が数年程度で再治療になる事が多く、歯の寿命を短くしてしまうことがその理由です。
また、昔の保険治療で使用されることが多かったアマルガムには、水銀が高濃度で含まれており、唾液による腐食で人体に影響を及ぼすおそれがあります。
イギリスやアメリカ、スウェーデンではアマルガムを規制する流れが出てきています。審美治療という面がクローズアップされることが多いですが、実は、審美的なことだけでなく健康面の理由からセラミック等の治療をお勧めしています。
審美治療の種類
補綴(被せ物)の種類は大きく分けて2種類あります。
インレー
歯の一部を覆う被せ物
※わかりやすいように銀歯の見本を掲載しております
クラウン
歯の全部を覆う被せ物
※わかりやすいように銀歯の見本を掲載しております
ハイブリッド(インレー・クラウン)
セラミックスとプラスチックが混ざり合った素材でできています。高額になりがちな審美治療の中でも比較的安価ですがレジンの欠点も持っています。
ハイブリッドのメリット
- 保険外治療の中では安価
- 金属アレルギーの方にも安心
ハイブリッドのデメリット
- 着色・変色しやすい
- 強度が劣るためブリッジには不向き
ゴールド(インレー・クラウン)
いわゆる金歯です。 金属の中では比較的しなやかなため、かみ合わせに合わせてなじんでくれます。
ハイブリッドのメリット
- 歯にピッタリとなじむ
ハイブリッドのデメリット
- 審美性に劣る
- 金属アレルギーの方には不向き
ジルコニア(インレー・クラウン)
通常のセラミックに比べ強度が高い素材がジルコニアです。金属のようなしなやかさと強度に優れています。金属アレルギーの心配もなく、身体に優しく安心です。
ジルコニアのメリット
- 強度があるので様々なかみ合わせの方に対応
- 金属アレルギーの方にも安心
ジルコニアのデメリット
- 素材の性質上透明感を出すことがむずかしい
ジルコニアセラミックス(クラウン)
全てセラミックでできている素材を使用する治療方法です。金属を使用しないため、金属アレルギーの方でも安心して治療していただけます。
ジルコニアセラミックスは自然な透明感があり天然歯に合わせて色合いを調整できるため、調和のとれた美しい仕上がりになります。
ジルコニアセラミックスのメリット
- 審美性に最も優れている
- 強度があるのでブリッジにも対応できる
- 金属アレルギーの方にも安心
ジルコニアセラミックスのデメリット
- コストがかかる
メタルボンド(クラウン)
メタルボンドは、金属の外側にセラミックを焼き付けた被せ物です。中に金属を使用しているため強度があります。またセラミックの変色しにくさも兼ね備えています。
メタルボンドのメリット
- 審美性に優れている
- 強度があるのでブリッジにも対応できる
メタルボンドのデメリット
- 内面が金属のため歯ぐきが黒く見えることがある
- 金属を使用しているため重さがある
ダイレクトボンディング
ダイレクトボンディングとは
ダイレクトボンディングは、通常保険適用されるプラスチックとは異なり、審美修復用プラスチックで天然歯のような自然な歯を再現する治療方法です。また、保険適用のプラスチックよりも強度が高く、耐久性に優れているため、見た目の美しさや機能を維持したまま仕上げることができます。
当院のダイレクトボンディング
治療の特徴
当院では、自費診療での「コンポジットレジン充填(CR充填)」を取り扱っております。「コンポジットレジン(CR)」は、現在虫歯治療などで広く普及している、樹脂製の白い修復用素材です。以前は金属を詰めて治していた虫歯も、近年はコンポジットレジン充填により、短時間で白い歯に修復する治療が一般的になりました。
通常の保険で使うレジンは、吸水性を持つ性質により着色しやすく、時間が経つにつれて劣化し、また強度が弱く欠けやすいといわれています。それに対し、自費診療でのレジンではレジンにセラミックの微粒子を混ぜたものが使用されており、透明感のあるより自然な歯の色を再現でき、変色しにくく強度も強いことが特徴です。
ダイレクトボンディングの
メリット・デメリット
メリット
- 1日で治療が終わります来院したその日のうちに修復が完了するので、患者さまの負担も軽減されます。
- 費用を抑えることができるすきっ歯を治すとなると、矯正治療の場合、高額になりますが、ダイレクトボンディングの場合は、比較的安価で費用を抑える事が出来ます。
- さまざまなお悩みに対応可能前歯の変色、前歯のすきっ歯、矮小歯などのさまざまな症例に対応可能です。
デメリット
- 外れる可能性がある前歯の治療の場合には、歯の表面に接着されているので、まれに外れる場合があります。
- 適応できない場合がある奥歯などの強い力が加わる箇所にはダイレクトボンディングは向いていません。
当院が取り扱う
補綴物の料金
相談料 | 無料 |
---|---|
ダイレクトボンディング | 33,000円 |
オールセラミックスインレー | 55,000円 |
ゴールドインレー | 71,500円 |
ジルコニアクラウン | 110,000円/132,000円 |
メタルボンド | 121,000円 |
オールセラミックスクラウン | 154,000円 |
ゴールドクラウン | 165,000円 |
※表示価格は全て税込価格になります。
審美症例
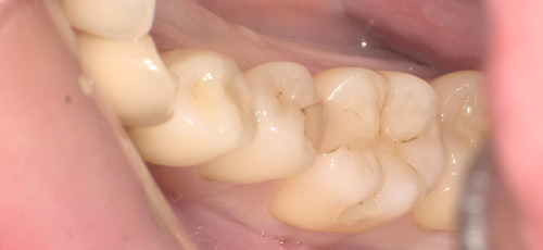
Case.1 ジルコニアクラウン(ステインあり)
治療前

治療後

担当医 | デンタルワンおおたかの森 Dr築根 |
---|
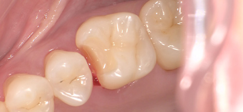
Case.2 ジルコニアクラウン(ステインなし)
治療前

治療後

担当医 | デンタルワンおおたかの森 Dr築根 |
---|
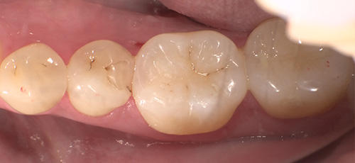
Case.3 ジルコニアクラウン(ステインなし)
治療前

治療後

担当医 | デンタルワンおおたかの森 Dr築根 |
---|
Case.4 ダイレクトボンディング
治療前

治療後

担当医 | デンタルワンおおたかの森 Dr築根 |
---|
Case.5 e-maxアンレー
治療前

治療後

担当医 | デンタルワンおおたかの森 Dr築根 |
---|
Case.6 e-maxインレー
治療前

治療後

担当医 | デンタルワンおおたかの森 Dr築根 |
---|
Case.7 ジルコニアクラウン(ステインあり)
治療前

治療後

担当医 | デンタルワンおおたかの森 Dr築根 |
---|
Case.8 ジルコニアクラウン(ステインあり)
治療前

治療後

担当医 | デンタルワンおおたかの森 Dr築根 |
---|
Case.9 ジルコニアクラウン(ステインあり)
治療前

治療後

担当医 | デンタルワンおおたかの森 Dr築根 |
---|
Case.10 ジルコニアクラウン(ステインなし)
治療前

治療後

担当医 | デンタルワンおおたかの森 Dr築根 |
---|
Case.11 ダイレクトボンディング
治療前

治療後

担当医 | デンタルワンおおたかの森 Dr築根 |
---|
Case.12 e-maxインレー
治療前

治療後

担当医 | デンタルワンおおたかの森 Dr築根 |
---|
Case.13 ジルコニアクラウン(ステインあり)
治療前

治療後

担当医 | デンタルワンおおたかの森 Dr築根 |
---|
Case.14 ジルコボンド
治療前

治療後

担当医 | デンタルワンおおたかの森 Dr築根 |
---|
Case.15 ダイレクトボンディング
治療前

治療後

担当医 | デンタルワンおおたかの森 Dr築根 |
---|
Case.16 e-maxアンレー
治療前

治療後

担当医 | デンタルワンおおたかの森 Dr築根 |
---|
Case.17 ダイレクトボンディング
治療前

治療後

担当医 | デンタルワンおおたかの森 Dr築根 |
---|
Case.18 e-maxインレー
治療前

治療後

担当医 | デンタルワンおおたかの森 Dr築根 |
---|
Case.19 ジルコニアクラウン(ステインなし)
治療前

治療後

担当医 | デンタルワンおおたかの森 Dr築根 |
---|
Case.20 ダイレクトボンディング
治療前

治療後

担当医 | デンタルワンおおたかの森 Dr築根 |
---|
Case.21 e-maxインレー
治療前

治療後

担当医 | デンタルワンおおたかの森 Dr築根 |
---|
Case.22 e-maxアンレー
治療前

治療後

担当医 | デンタルワンおおたかの森 Dr築根 |
---|
Case.23 ダイレクトボンディング
治療前

治療後

担当医 | デンタルワンおおたかの森 Dr築根 |
---|
Case.24 e-maxアンレー
治療前

治療後

担当医 | デンタルワンおおたかの森 Dr築根 |
---|
Case.25 ダイレクトボンディング
治療前

治療後

担当医 | デンタルワンおおたかの森 Dr築根 |
---|
Case.26 ダイレクトボンディング
治療前

治療後

担当医 | デンタルワンおおたかの森 Dr築根 |
---|
Case.27 ジルコニアクラウン(ステインなし)
治療前

治療後

担当医 | デンタルワンおおたかの森 Dr築根 |
---|
Case.28 ダイレクトボンディング
治療前

治療後

担当医 | デンタルワンおおたかの森 Dr築根 |
---|
Case.29 ジルコニアクラウン(ステインなし)
治療前

治療後

担当医 | デンタルワンおおたかの森 Dr築根 |
---|
Case.30 ダイレクトボンディング
治療前

治療後

担当医 | デンタルワンおおたかの森 Dr築根 |
---|
Case.31 ジルコニアクラウン
治療前

治療後

治療前

治療後

治療前

治療後

担当医 | デンタルワンおおたかの森 Dr築根 |
---|
Case.32 ジルコニアクラウン
治療前

治療後

治療前

治療後

担当医 | デンタルワンおおたかの森 Dr築根 |
---|
Case.33 ダイレクトボンディング
治療前

治療後

治療前

治療後

担当医 | デンタルワンおおたかの森 Dr築根 |
---|
Case.34 フルジルコニアクラウン
治療前

治療後

担当医 | デンタルワンおおたかの森 Dr築根 |
---|
Case.35 フルジルコニアクラウン
治療前

治療後

治療前

治療後

担当医 | デンタルワンおおたかの森 Dr築根 |
---|
Case.36 ジルコボンドBr
治療前

治療中

治療後

担当医 | デンタルワンおおたかの森 Dr築根 |
---|
Case.37 ジルコニアクラウン
治療前

治療後

担当医 | デンタルワンおおたかの森 Dr築根 |
---|
Case.38 ジルコニアクラウン
治療前

治療後

担当医 | デンタルワンおおたかの森 Dr築根 |
---|
Case.39 ジルコニアクラウン
治療前

治療後

担当医 | デンタルワンおおたかの森 Dr築根 |
---|
Case.40 セラミック
治療前

治療後

担当医 | デンタルワンおおたかの森 Dr築根 |
---|